
If you’re like many parents, you’ve probably looked at your teen’s smile and thought, “Do they need braces… or is this just normal?”
Totally understandable — teeth don’t come in with instruction manuals. And with teens growing so quickly, it’s not always obvious what’s “fine for now” and what needs orthodontic attention.
At Aubrey Barrett Orthodontics, we’ve helped thousands of teens across El Cerrito, Pittsburg, and nearby communities understand whether braces (or Invisalign) are truly necessary.
The good news? There are clear signs you can look for — and they’re easier to spot than you might think.
Here’s a simple guide to help you determine if your teen needs braces.
Signs Your Teen Needs Braces — Quick Overview
| Sign | What to Look For |
| Crowding | Teeth overlapping, twisting, or no space to fit properly |
| Spacing | Gaps between teeth that haven’t closed by age 12–16 |
| Bite Issues | Overbite, underbite, crossbite, or open bite |
| Baby Teeth Issues | Baby teeth falling out too early or too late |
| Chewing Problems | Trouble biting into foods or chewing evenly |
| Breathing/Speech | Mouth breathing, snoring, or speech concerns |
| Self-Consciousness | Hiding smile or avoiding photos |
| Not Sure | Free consultation for clarity |
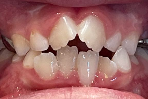
1. Crooked or Crowded Teeth

Let’s start with the most obvious sign.
Crowded teeth are one of the biggest reasons teens get braces.
Look for:
- Teeth overlapping
- Teeth twisted or rotated
- “Layers” of teeth instead of a single row
- Not enough space for all teeth to fit
- Permanent teeth that came in sideways
Crowding isn’t just cosmetic — it can make brushing harder, increase the risk of cavities, and affect confidence.
Good news: Braces or Invisalign Teen correct crowding beautifully and help your teen maintain a healthier smile long-term.
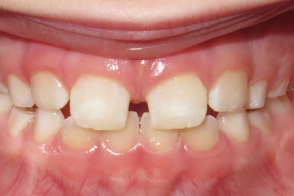
2. Gaps or Spaces Between Teeth

On the flip side, spacing is also a common issue.
You may notice:
- Small gaps
- Larger spaces
- A space in the middle that widens when smiling
- Teeth that look “too far apart”
Some spacing closes naturally as more teeth come in — but if your teen is 12–16 and still has gaps, orthodontic treatment may be recommended.
3. Bite Problems (Often Hidden Until You Look Closely)

Your teen’s bite (the way the top and bottom teeth fit together) matters even more than the appearance of the teeth.
Look for these signs:
Overbite
Upper teeth stick out too far forward.
(If your teen can’t bite into a sandwich cleanly, this might be why!)
Underbite
Lower teeth are in front of the upper teeth.
This often causes jaw imbalance and uneven wear on teeth.
Crossbite
Upper teeth bite inside the lower teeth.
This is a big reason for braces and can lead to jaw shifting.
Open Bite
Front teeth don’t touch when biting down.
Often linked to thumb-sucking or mouth breathing earlier in life.
Why these matter:
Bite problems affect speech, chewing, jaw joint health, and long-term dental stability. Braces or Invisalign align the bite so everything works as it should.
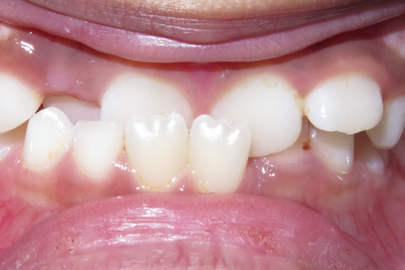
4. Early or Late Loss of Baby Teeth

Baby teeth are like nature’s “placeholders.”
If they fall out too early or too late, adult teeth may come in crooked.
Watch for:
- Teeth lost much earlier than peers
- Teeth not falling out even though adult teeth are erupting behind them
- “Shark teeth” (double rows)
- Baby teeth that seem stuck
If your teen (or pre-teen) still has baby teeth at age 12+, it’s worth checking in.
5. Difficulty Biting or Chewing

If your teen:
- Avoids certain foods
- Struggles to bite into sandwiches, apples, or pizza
- Chews only on one side
- Complains that their teeth “don’t line up”
…they may have a functional bite issue that braces or Invisalign can fix.
Even if their teeth look straight, the bite may not be working properly.
6. Mouth Breathing, Snoring, or Speech Issues

These aren’t always orthodontic problems — but they’re often connected.
A narrow upper jaw or bite imbalance can contribute to:
- Mouth breathing
- Snoring
- Lisp or speech challenges
- Restless sleep
Early orthodontic treatment can sometimes help improve airflow and oral function.
7. Self-Consciousness About Their Smile

This one is more emotional, but it’s important.
If your teen:
- Hides their smile
- Refuses to smile in photos
- Covers their mouth when laughing
- Mentions wanting straighter teeth
…braces or Invisalign can make a HUGE difference not just in their bite — but in their confidence.
We see it all the time at our El Cerrito and Pittsburg offices: teens begin treatment shy and hesitant… and walk out months later with a whole new level of confidence.
8. You Just Aren’t Sure — and That’s Okay

Many parents simply can’t tell if their teen needs braces — and that’s completely normal.
That’s exactly why the American Association of Orthodontists recommends an orthodontic checkup by age 7, and why so many families choose us for second opinions.
At Aubrey Barrett Orthodontics, we make the process:
- Easy
- Clear
- Free of pressure
- 100% free for the initial consultation
We’ll tell you truthfully what your teen needs — even if the answer is “nothing yet.”
How We Help Teens in El Cerrito & Pittsburg
Here’s what families love about working with Dr. Aubrey Barrett:
- She’s gentle, friendly, and amazing with kids and teens
- She explains everything in a way parents and teens both understand
- She uses modern technology for faster, more comfortable treatment
- She offers braces and Invisalign Teen
- She owns her practice and truly cares about each family
- Consultations are totally free — always
Our goal is simple: help your teen get a healthy, confident smile in the most positive, supportive environment possible.
Not Sure If Your Teen Needs Braces? Get Peace of Mind — Free.
The easiest way to know for sure is to come in for a free orthodontic consultation.
You’ll get:
✨ Digital scans (no goopy molds!)
✨ Photos
✨ A simple explanation of what’s going on
✨ Honest recommendations
✨ A customized treatment plan
✨ Clear pricing with flexible options
No pressure. No sales pitch.
Just answers — from a team that truly cares.
Book your free consultation at our El Cerrito or Pittsburg office today
Your teen deserves a smile that makes them feel amazing — and you deserve to feel confident in the plan.





